New Patients: (508) 214-4227
(508) 839-4233
33 North Main St, North Grafton, MA 01536
(508) 943-6908
5 Englewood St, Webster, MA 01570

Dentistry Before and After Photos

The image shows two close-up photos of a smiling person with straight teeth, set against a plain background. The image shows a split-screen comparison of a man s facial expression with two different sets of teeth, emphasizing the difference between a natural smile and a dental implant. The image shows a person with a wide smile, displaying two rows of teeth, against a blurred background.
The image shows a close-up of a person s mouth with yellowish teeth and a partial view of their lips, which are slightly parted.

Before

The image shows a close-up of a person s smiling mouth with white teeth, displaying a healthy dental appearance.

After

The image shows a close-up of a person s mouth with teeth that have been professionally whitened, revealing a bright smile.

Before

The image shows a close-up view of a person s teeth with visible yellowing, indicating possible dental issues or staining.

After

A close-up photograph of a smiling person with a toothy grin, displaying straight white teeth, and wearing lipstick.

Before

The image shows a close-up of a person s smiling face with teeth, displaying a bright smile with white teeth and a pink tongue.

After

An image showcasing a close-up view of a person s teeth with a focus on dental care or oral health.

Before

The image shows a close-up view of a person s teeth, highlighting a bright smile with white teeth, including the upper and lower front teeth, set against a pink gum background.

After

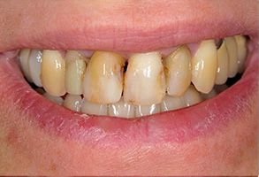
The image shows a close-up view of an individual s teeth with some yellowing and staining, which are common signs of dental wear or neglect.

Before

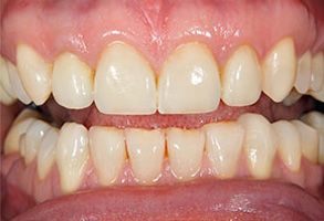
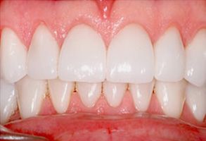
The image shows a close-up view of a person s teeth with a focus on the front teeth, which appear to be artificial teeth with a natural color and texture.

After

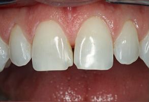
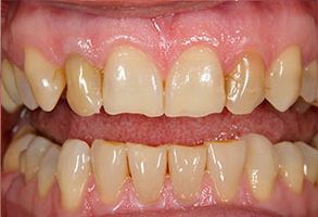
The image displays a close-up view of a person s teeth with a focus on a large gap between the front teeth, which are discolored and appear to be in poor condition due to decay or damage.

Before

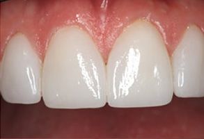
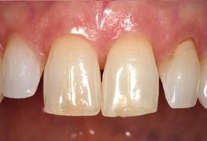
The image shows a close-up of a person s teeth with a focus on a set of white, straight teeth, likely for dental or orthodontic purposes.

After

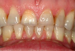
The image shows a close-up view of a person s mouth with teeth showing signs of decay and discoloration, with yellowing and staining visible on the teeth.

Before

The image shows a person s teeth with a focus on dental hygiene, likely intended for educational or informational purposes.

After